عيادة طب الأطفال
اللوكيميا عند الاطفال و الرضع

اللوكيميا عند الاطفال و الرضع

اللوكيميا عند الاطفال والرضع   لوكيميا الدم عند الأطفال child Leukemia ابيضاض الدم عند الرضع الابيضاض اللمفاوي الحاد عند الطفل و الرضيع ALL in children الابيضاض اللمفاوي النقوي لدى الطفل AML لوكيميا الأطفال أسباب,أعراض,تشخيص,علاج   ما هو سرطان أو ابيضاض الدم أو اللوكيميا عند الأطفال و الرضع ؟ سرطان أو ابيضاض الدم أو اللوكيميا عند الأطفال و الرضع هو تكاثر عشوائي و مخرب للكريات …
سرطان العين عند الاطفال و الرضع

سرطان العين عند الاطفال و الرضع

سرطان العين عند الاطفال و الرضع سرطان شبكية العين عند الاطفال ريتينوبلاستوما الطفل الرتنوبلاستوما عند الأطفال حديثي الولادة ورم الريتنوبلاستوما CHILD EYE CANCER سرطان العيون للاطفال RETINOBLASTOMA in Children اسباب,اعراض,تشخيص,علاج   ما هي الريتنوبلاستوما أو سرطان شبكية العين عند الاطفال و الرضع و حديثي الولادة؟ الريتنوبلاستوم أو سرطان شبكية العين عند …
النيوروبلاستوما عند الاطفال :اسباب, اعراض ,علاج

النيوروبلاستوما عند الاطفال :اسباب, اعراض ,علاج

النوروبلاستوما عند الاطفال نوروبلاستوما عند الطفل النيوروبلاستوما لدى الرضع الورم الأورمي العصبي عند الرضيع ورم الخلايا العصبية للأطفال أسباب,أعراض,تشخيص,معالجة CHILD NEUROBLASTOMA ما هو ورم أو سرطان النوروبلاستوما عند الاطفال و الرضع ؟ النيوروبلاستوما ورم و سرطان خبيث مضغي ينشأ على حساب خلايا الجهاز العصبي الودي بعد العقد العصبية. يمكن أن تتوضع النوروبلاستوما في البطن أو في الصدر أو الرأس و العنق . تشكل أورام البطن 70% من …
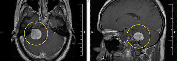
اورام الدماغ عند الاطفال

اورام الدماغ عند الاطفال

سرطان الدماغ عند الاطفال ورم الدماغ لدى الطفل أورام الجهاز العصبي المركزي ورم في دماغ طفل الورم الدماغي الخبيث للأطفال سرطان المخ و المخيخ BRAIN CANCER IN CHILDREN أسباب,أعراض,تشخيص,معالجة CHILD CENTRAL NERVOUS SYSTEM TUMORS تعتبر أورام الجملة العصبية أشيع الأورام الصلبة عند الأطفال , و تأتي في المرتبة الثانية بعد الابيضاضات (سرطان الدم ) في قائمة الأمراض الخبيثة من حيث نسبة الحدوث الإجمالية . و …
داء هودجكين أو مرض هودجكن عند الاطفال

داء هودجكين أو مرض هودجكن عند الاطفال

اللمفوما من نوع هودجكين عند الأطفال لمفوما هدجكن لدى الطفل سرطان العقد اللفماوية للأطفال ورم العقد البلغمية عند الطفل تسرطن العقد اللمفية للطفل أسباب,أعراض,تشخيص,علاج مرض لمفوما هودجكن Hodgkin's Lymphoma داء هودجكين HODGKIN LYMPHOMA IN CHILDREN ما هو مرض أو داء أو لمفوما هودجكين ؟ مرض أو داء أو لمفوما هودجكين هو ورم و سرطان يصيب الخلايا و العقد اللمفاوية أو البلغمية (تصيب الجهاز الشبكي البطاني : …
لمفوما لا هودجكين عند الأطفال

لمفوما لا هودجكين عند الأطفال

اللمفوما من نوع لا هودجكين عند الأطفال الليمفوما الغير هودجكين ليمفوما غير هودجكين لمفوما لاهدجكن لدى الطفل سرطان العقد اللفماوية للأطفال ورم العقد البلغمية عند الطفل تسرطن العقد اللمفية للطفل أسباب,أعراض,تشخيص,علاج CHILD NON-HODGKIN LYMPHOMA NHL in Children   ماذا تعني كلمة لمفوما أو اللمفوما ؟ كلمة لمفوما أو اللمفوما تعني ورم او مجموعة من الاورام التي تصيب الخلايا في الجهاز الشبكي البطاني و خلايا العقد اللمفاوية أو البلغمية …
متلازمة الانحلال الورمي

متلازمة الانحلال الورمي

متلازمة الانحلال الورمي انحلال الورم بعد العلاج الكيماوي ارتفاع حمض البول في الدم بعد المعالجة الكيماوية للسرطان الفشل و القصور الكلوي بعد العلاج الكيمائي تأثير المعالجة الكيميائية على الكلى Tumor lysis syndrome ما هي متلازمة الانحلال الورمي عند الاطفال المصابين بسرطان أو ابيضاض الدم ؟ يتعرض الأطفال المصابون بمرض ابيضاض أو سرطان الدم اللمفاوي الحاد ALL لخطر عالي لحدوث متلازمة الانحلال الورمي …
سرطان و ابيضاض الدم عند الاطفال

سرطان و ابيضاض الدم عند الاطفال

سرطان الدم عند الاطفال ابيضاض الدم عند الطفل و الرضيع اللوكيميا لدى الطفل لوكيميا الأطفال و الرضع الابيضاض الدموي للأطفال الابيضاض اللمفاوي الحاد الابيضاض النقوي الحاد BLOOD CANCER أسباب أعراض ,تشخيص , علاج CHILD LEUKEMIA ما هو ابيضاض أو سرطان الدم أو اللوكيميا عند الاطفال ؟ ابيضاض أو سرطان الدم أو اللوكيميا عند الاطفال هو حالة من التكاثر الورمي الزائد غير الطبيعي لكريات الدم البيضاء عند الاطفال …
السرطان عند الاطفال

السرطان عند الاطفال

السرطان عند الاطفال سرطانات الطفل أورام الطفولة علم الأورام CHILDREN CANCER أسباب,أعراض,تشخيص,علاج Pediatric Oncology يعتبر سرطان الاطفال مرضاً نادراً خلال الطفولة , و هو يشكل 5 % فقط من كل حالات السرطان عند الإنسان , و تبلغ نسبة خطورة إصابة أي طفل بالسرطان حوالي طفل واحد من كل 600 طفل. و يعتبر سرطان الأطفال أهم سبب لوفاة الاطفال و المراهقين ما بين عمر …
سرطان الأطفال , دور الأم في كشف المرض

سرطان الأطفال , دور الأم في كشف المرض

الكشف المبكر لسرطان الأطفال قد يبدأ عن طريق الأم !   هل سرطان الأطفال مرض منتشر ؟ تعتبر نسبة حدوث السرطان لدي الأطفال تحت سن 16 سنة صغيرة جداً بالمقارنة بالكبار وذلك على مستوى العالم أجمع. ما هي أهم أنواع سرطان الأطفال ؟ والأمراض السرطانية في الأطفال هي غالباً ما تكون سرطان الدم (اللوكيميا) وسرطان الغدد اللمفاوية ( اللمفوما), وأورام الدماغ, بالإضافة إلى نسبة قليلة …